Crossbites are a common occurrence among children, teens, and adults. Oftentimes, our patients who come in with a crossbite will experience difficulty chewing food. We can also identify a crossbite through a dental checkup. If you have a crossbite, there are several ways we can treat it.
Crossbites Facts You Need to Know
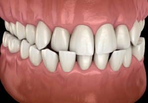
A crossbite occurs when the lower teeth cover one or more of your upper teeth when you bite. It is also known as a misaligned bite or a malocclusion due to it being an irregular contact between your upper and lower teeth. This irregular contact can happen through several points within the mouth.

A malocclusion is irregular or rough contact between your upper and lower teeth. Those with aligned lower and upper teeth chew and bite down more easily, but with a misaligned bite, you may experience cracked or broken teeth or worn enamel.
A crossbite can occur for a variety of reasons, such as a mismatch between your jaw size and the size of your teeth. Premature loss of teeth or missing teeth, as well as thumb sucking or tongue thrusting, can also cause a crossbite.
What are the Symptoms of a Crossbite?
Crossbite symptoms may include:
- Jaw pain
- Headaches
- Tooth decay
Crossbites can also affect the appearance of your lips and teeth. If you have a crossbite in the back of your mouth, it can lead to grinding, jaw issues, wear on the teeth, and even abnormal facial development.
How King Orthodontics Treats Crossbites
Typically, the treatment for crossbites involves orthodontics. This means that crossbites can be treated with braces. We will usually use braces to treat children or young adolescents as their jaw is still developing and growing. Crossbite treatments are often done in phases and will also require extractions of baby teeth or permanent teeth. More rare cases may require surgery in severe instances. This type of orthognathic procedure will be completed by a maxillofacial surgeon who will shorten the lower jaw to align the teeth properly.
If you end up with braces or with any crossbite treatments, you need to make sure that you are properly brushing and flossing your teeth. Braces can make this more difficult, but at King Orthodontics, we can offer you techniques for cleaning your teeth to fight cavities and decay.
For younger patients, we can adjust the shape and alignment of the teeth and jaws more easily. Additionally, braces or dental restoration can be an effective treatment for mild alignment in older patients. For more severe crossbites, you may need jaw surgery.
Age, cause, and type of crossbite will impact the type of treatment we recommend for your crossbite. We have six different options we commonly prescribe to treat your crossbite, including:
Palatal Expanders
If you have a small upper jaw that is not fitting with your lower jaw, we will use palatal expanders to increase the size of your upper jaw. With fixed expanders, you will gradually widen your jaw using a tool, whereas with removable expanders, you will wear them at night only to expand your jaw.
Braces
We will use
braces to straighten your upper and lower teeth. This will align the bite into the proper position. Both children and adults can benefit from treatment with braces.
Tooth Removal
After evaluation, we may need to remove teeth to help create more room, which will help move your lower teeth back. This is typically done before we fit you with braces.
Surgery
When it comes to correcting crossbites in adults, it can be more challenging. This is because an adult jaw is harder to adjust using ono-invasive treatment. We may need to refer you for corrective surgery.
Dental Restorations
We can use bonding, reshaping, and capping of the teeth to help resolve mild alignment cases.
Headgear
Headgear will attach to the head and is used to put gentle pressure on your teeth with wires. This can help to increase or slow the growth of the jaw and is typically used for children or teens whose jaws are still growing.
Need More Information on Crossbites? We Can Help!
Contact King Orthodontic today to learn more about how we can correct your crossbite!
Latest posts by higherimages
(see all)