• Wexford: (724) 935-5323
  • Bridgeville: (412) 564-5351
Schedule Now
King Orthodontics Logo
(724) 935-5323
  • About Us
    • Our Doctors
    • Our Staff
    • Testimonials
    • Blog
  • Braces
    • Braces for Adults
    • Braces for Children
    • Braces for Teens
    • Two Phase Treatment
    • Emergency Orthodontic Care
    • LightForce Braces
  • Invisalign
    • Invisalign Teen
    • Invisalign First
    • Smile Assessment
  • WildSmiles
  • Gallery
  • New Patients
    • What To Expect
    • Patient Forms
    • Financial Information
  • Contact Us
    • Wexford, PA
    • Bridgeville, PA

Gallery

  • Home
  • Gallery

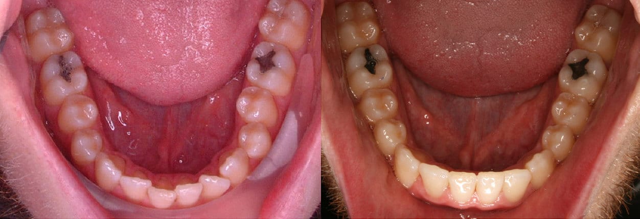
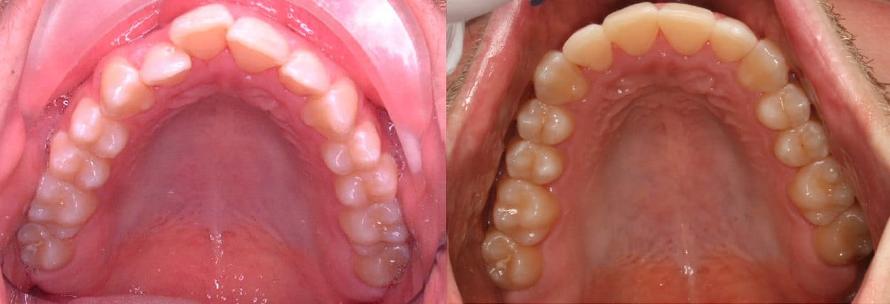
Tim C

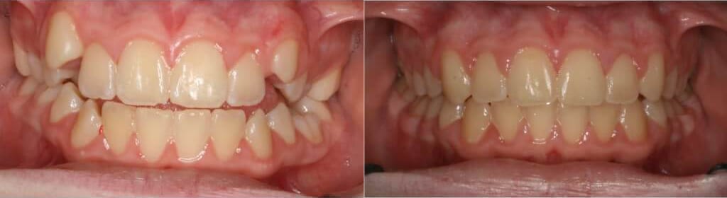
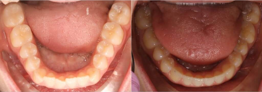
Rachel M

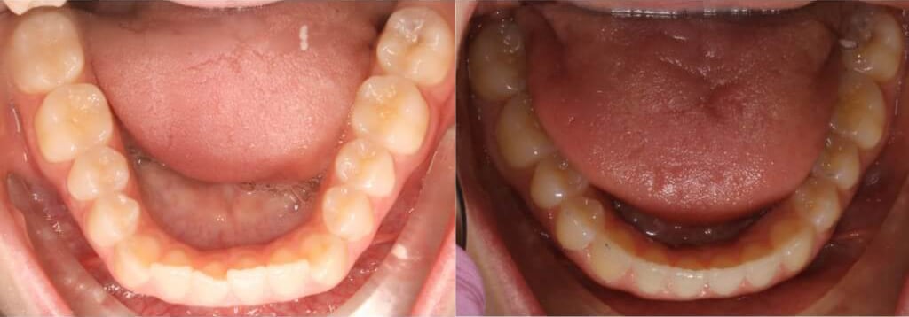
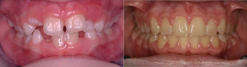
Keryne L (Part 1)

(Part 2)

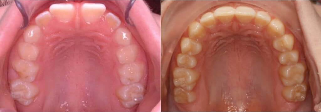
Katie W (Part 1)

(Part 2)

American Board of Orthodontics Logo - Pittsburgh Orthodontist American Dental Association Logo Invisalign Logo - Invisalign Pittsburgh Pennsylvania Dental Association Logo - Wexford Orthodontist Wild Smiles Braces
King Orthodontics Logo
Wexford
  • 11200 Perry Highway Wexford, PA 15090
  • (724) 935-5323
Bridgeville
  • 160 Millers Run Road
    Suite 600
    Bridgeville, PA 15017
  • (412) 564-5351
Invisalign®
  • Invisalign®
  • Invisalign Teen®
  • Invisalign First®
  • Smile Assessment®
Braces
  • Braces
  • Braces For Adults
  • Braces For Children
  • Braces For Teens
  • Wild Smiles
  • Two Phase Treatment
  • Emergency Orthodontic Care
  • LightForce Braces
About us

For over 30 years, King Orthodontics has helped children and adults achieve the confident smiles that they have been dreaming about. Dr. Earle King founded our Wexford location in the 1980’s and in 2006, with...

Read More
Patient Rewards
Testimonials
© Copyright King Orthodontics All Rights Reserved. Web Design by Higher Images.